https://m.blog.naver.com/restart3176/222520972360
부산 사랑니 숙련
![]()
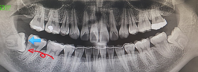
매복 사랑니 1차 발치에 이어 매복 사랑니 2차 발치를 진행했습니다.
![]()
Zoom 부산광역시 부산진구 가야대로 769 ABC메디컬센터 7층 구강악안면외과 치과 부산지점
![]()
사랑니 발치 첫날
![]()
한 번 뽑으면 끝인 줄 알았는데 전 과정을 알게 된 지금 더 무서운 건 두 번째 사랑니 뽑는 거다.
![]()
지난번처럼 단뿌리를 입에 넣고 마취제를 뿌린 뒤 시바견에게 안겨 전신마취에 잇몸주사바늘을 사용했다. 이번이 처음이라 따끔거림이 불편하고, 이번에는 의사선생님이 “아프겠다~~”라고 자주 말씀하시니 마음의 준비를 하고 주사를 맞으시는 것이 좋습니다. 다시. 마취가 끝난 후 지시사항을 듣고 잠시 기다리니 혀의 절반이 마비되었느냐고 물으셨고 그렇다고 대답하니 마취도 잘 되는 것을 확인시켜 주셨습니다. 타이레놀 사던 날 깜빡하고 샀어요 병원 아래층 약국에서는 타이레놀 말고 다른 진통제만 팔더라구요.
이번에 발치할 사랑니는 수직형 사랑니인데요 처음에는 그냥 일반 발치처럼 잇몸을 잘라서 뽑았는데 아주 단단하게 붙어있을 수도 있지만 결국은 뽑히지 않습니다. 치아를 깎는 도구를 샀는데, 수직인지도 모르겠고, 저번보다 연마하는데 시간이 많이 걸렸다. 기계적인 소리와 진동에 머리가 떨리지만 시끄럽고 무섭다 사랑니 발치 잘하는 나라에 태어나서 다행이다 부러진 이를 뽑는 것 같은 느낌 가끔은 조금 아프거나 불편할텐데, 하지만 마취보다 낫습니다 바늘이 훨씬 편합니다.

결과는 이것입니다. 콴삼차도 쓸 수 있는데 지원금 때문에 진통제, 진료비, 약값(4,800원)을 다 쓴다. 이어폰을 잘못 꽂은 줄 알고 2~3시간 동안 계속 냉찜질을 하고 병원에서 주는 냉찜질을 하다가 마취가 풀렸고 어머니가 해 주신 전복죽을 먹다가 아플까 봐 걱정이 되어서 바로 약을 먹었습니다. 약간 질긴. 먹기 불편해서 먹고 라면 먹고 커피에 찍어먹고 끝….!! 저번에 이 뽑았을 때 거즈 뽑았는데 피가 계속 흘러내림 내 목 뒤. 가끔은 냉찜질만 해도 괜찮을 것 같아요* 제 남자친구도 그날 사랑니를 뽑았는데 마취가 풀리기 전에 잠시 메스꺼움을 느꼈다고 하더군요. 처방대로 입안을 헹구는데 한쪽이 있는데 이때 짧고 짙은 통증이 지나고.. ㅠㅠ (다음에 입을 헹구면 통증은 그리 아프지 않을듯) 헹굴때 이를 가는 진동인가 내 입? 치아를 발치한 쪽 입술 주변에 피가 흐르고 조금 부어있었는데 발치의 힘 때문인지 마취 때문인지 지난번과 같았습니다. 평소보다 조금 일찍 잠자리에 들었다. 듣긴 하는데 새벽 3시쯤 욱신거리는 잇몸으로 잠에서 깬다. 많이 아프진 않았지만 냉찜질용 진통제를 먹고 게살 4알 먹는 걸 잊고 약을 먹고 속이 불편할까 봐 두려웠습니다.하하 사랑니 뽑는데 2~5일 걸린다고 하네요
![]()
발치하자마자 냉찜질을 하려고 했는데 두 번째 부주의로 볼이 부어오르기 시작했는데 정말 냉찜질이 중요한 것 같습니다. . . ! (볼은 한번 부어오르면 식어도 붓기가 빠지지 않는다는 말이 있습니다.) 암튼 다음날 약과 밥을 먹었는데 통증은 없었습니다. 간장게장을 먹었습니다. 저녁에 소스와 소세지, 그리고 조금 불편함을 느꼈습니다 약을 직접 먹고 다음날 물로 가글하고 가글을 시작하면 전혀 역겹지 않습니다. 약을 다 먹지 않은 덕분에 이번에는 아직 진통제가 많이 남았다. 그리고 다음날부터 하루에 2번만 먹으니까(3번 먹었을 텐데) 여유 시간이 많아서 8~9일 아플 때마다 진통제를 먹을 수 있다. 그래서 이번에는 진짜 불편함이 거의 없는 것 같은 느낌이 듭니다(제 남자친구는 약을 끊는 순간 약 4일 동안 더 많은 고통과 불편함을 느낀다고 말하는 것 같습니다). 어느 정도 수준에 도달했다고 볼 수 있을 것 같습니다. 저는 Xingguo Fire and Marine 보험 청구자이며 앱을 다운로드하여 보험금 청구를 했습니다. 사고 유형: 질병 사고 사고 내용: 치통으로 인해(확대하려면 클릭) 치과에서 받은 영수증과 함께 업로드했습니다. 이것에 첨부하는 것 같아요* 실비에 대한 증빙서류가 필요하다고 해서 들은 진료기록부 몇 장을 꺼내 봉투에 담았습니다. (월 3만원은 2009년부터 싸지 않아요!!) 남자친구는 계산서 바로 받았다고 했고 실제 비용은 한 달에 1만원에서 2만원 정도였어요. 같을수도.. 암튼 보신적은 있는데 가끔 안맞는 경우도 있어요 (참고) 사랑니 뽑은지 거의 두달정도 됐는데 많이 좋아졌어요. 이 모든 것을 보고 너무 무서워서 빼지 않아도 될 것 같아서 보류했는데 생각보다 잘 되는 것 같았습니다.모두 사랑니 안전하게 뽑으시길 바랍니다 #줌구강악안면외과치과 #부산사랑니 #부산사랑니잘펄스 #부산사랑니치과 #서면智智 #西面智始哪里好设计#사랑니리뷰 #매복사랑니리뷰 #매부시 사랑니발치리뷰